歯ならびを治すことによって見た目を美しくするだけでなく、かみ合わせを整え、虫歯・歯周病を予防したり、アゴの骨の成長バランスを整えたりと、様々な面で健康に寄与します。
- 当院の矯正歯科医師は以下の資格・学歴を取得しております。
- ・歯科医師免許
- ・歯学博士
- ・日本矯正歯科学会 認定医
- ・日本矯正歯科学会 指導医
- ・日本矯正歯科学会 臨床指導医
- ・日本舌側矯正歯科学会 認定医
- ・世界舌側矯正歯科学会 認定医
歯並びの矯正治療は何のために行うの?
●笑顔のために
歯並びが悪くて損をしている人はたくさんいます。歯並びの矯正で顔全体のバランスが良くなれば、笑顔も魅力的なものとなり、自信回復にもつながります。
●むし歯・歯周病・口臭予防のために
歯並びが悪いと、むし歯や歯周病になるリスクが高くなります。でこぼこした歯並びでは、うまく歯ブラシがあてられず、どうしてもみがき残しが出てしまうからです。また、むし歯や歯周病は口臭の大きな原因になるといわれています。矯正治療で、そのようなリスクを回避することができます。
●健康のために
噛み合わせが悪いと、良く噛めないために消化不良を起して医や腸に負担がかかったり、顎関節症、肩こり、頭痛の原因になることもあります。
●お子様のあごの成長のために
お子様の場合、歯並びを矯正することによって上下のあごがバランスがよく育ち、顔貌が整います。
●正しい発生のために
歯並びを矯正することで、正しくハッキリとした発音で会話をすることができるようになり、コミュニケーションに自信が持てます。
●スポーツのために
しっかりした噛み合わせはあらゆる運動の基本。噛み合わせが悪いままスポーツをすると、体のいろいろな箇所に故障をきたすことがあります。プロスポーツ選手でもシーズンオフに矯正のワイヤーをつけているのをよくテレビで見かけますよね。
矯正治療と年齢
●早期矯正治療(小児矯正治療):約7~12歳
7~12歳は、アゴの成長や永久歯の生え変わりが盛んに起こる時期です。その時期に合わせてアゴの成長バランスを整えたり、永久歯の生えるスペースを獲得し、大きな問題を取り除きます。
●本格矯正治療:約12歳以降
12歳以降は、すべての歯が永久歯になっている時期です。そこですべての歯にワイヤーの装置を取り付け、1つ1つの歯を正しい位置にならべます。 ワイヤーの装置の種類は目立たないものなど色々あります。
小児矯正治療の流れ
歯並びの種類
正常咬合

正しい歯並び、噛み合わせの状態です。
らんぐい歯(叢生)

歯が部分的に重なってしまっている状態です。抜歯が必要な場合もあります。
八重歯

八重歯も乱ぐい歯の一種です。
開咬

上の歯の列と下の歯の列に隙間ができてしまって、しっかりと噛み合わせることができない状態です。
上顎前突症

一般に、出っ歯と呼ばれるもので、噛みあわせをした時に、上側の歯の列が前の方へ突き出してしまっている状態です。
下顎前突

一般に、受け口やしゃくれと呼ばれるもので、噛みあわせをした時に、下側の歯の列が前の方へ突きだしてしまっている状態です。
上下顎前突

上下両方ともの歯が前の方へ突き出している状態です。
空隙歯列

一般に、すきっ歯と呼ばれ、歯の間に隙間ができている状態です。
交叉咬合

奥歯もしくは前歯の左右どちらかが、横にずれてしまっている状態です。
顎関節症の原因ともなりうるので、治療が必要です。正中離開

前歯真ん中、手前2本の隙間があいていて、歯が離れている状態で、すきっ歯とも言われます。
過蓋咬合

下の歯が上の歯によって、噛みあわせた時に覆われて、完全に隠れてしまう状態です。
切端咬合

前歯の上と下の先っぽで噛みあって、先端同士がぶつかっている状態です。
矯正装置の種類
●早期矯正治療に用いる装置
-
拡大床装置歯列の横幅を広げたり、数歯の移動を目的とした装置です。中央のネジを調整し、装置の幅をゆっくりと広げ、顎の骨を押し広げていきます。
-
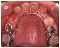
舌側弧線装置主に小児矯正の時使用し裏側からバネの力で咬みあわせをなおしたり、歯の並ぶスペースを確保したりする装置です。
-
マルチブラケット装置(部分)前歯4本を揃えたり、永久歯の生えている部分を先に並べる時に使用します。
●本格矯正治療に用いる装置
-
マルチブラケット装置(表側)当院ではメタルブラケットを使用しません。すべて審美ブラケットを標準価格でご提供いたします。ワイヤーはメタル色です。
-
マルチブラケット装置(表側 ホワイトワイヤー使用)表側に透明な装置と白色のワイヤーを用います。やや目立ちにくい治療を行うことができます。
-
マルチブラケット装置(舌側)裏側に装置を付けます。他の人に気づかれずに治療を終えることができます。
-
マウスピース型矯正装置取り外し可能な目立ちにくい装置です。
舌側矯正治療
歯ならびは治したい。でも装置は見られたくない。舌側矯正はそんな方におススメの矯正です。
おススメの方
- ・矯正装置を見られたくない方
- ・成人式・結婚式など、写真撮影を控えている方
- ・モデル・営業の方
おススメできない方
- ・歌手やアナウンサーなど(舌側矯正装置が舌に当たるため)
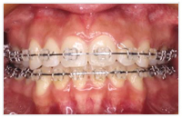
叢生(ガタガタ)
主訴:前歯のガタガタ
診断名:上顎歯列の狭窄を伴うAngle I級重度叢生
年齢:27歳
使用した主な装置名:舌側マルチブラケット装置
抜歯部位:上下顎両側の小臼歯および第三大臼歯
治療期間:2年8か月
下記の費用は治療完了までにかかる目安であり、最初にすべてお支払いいただく金額ではござません。
詳しくは下部の料金表をご覧くださいませ。
費用の目安:1,058,000円(治療期間内にかかる検査料、診断料、施術料、処置料をすべて含む)
リスク副作用:歯肉退縮、歯根吸収
出っ歯(上顎前突)
主訴:出っ歯
診断名:下顎骨劣成長による骨格性上顎前突
年齢:25歳
使用した主な装置名:舌側マルチブラケット装置
抜歯部位:上顎両側第一小臼歯、下顎左側第二小臼歯
治療期間:2年4か月
下記の費用は治療完了までにかかる目安であり、最初にすべてお支払いいただく金額ではござません。
詳しくは下部の料金表をご覧くださいませ。
費用の目安:1,042,000円(治療期間内にかかる検査料、診断料、施術料、処置料をすべて含む)
リスク副作用:歯根吸収
受け口(下顎前突)
主訴:下の前歯が前に出ている
診断名:上顎右側側切歯先天性欠如、および下顎右側第一大臼歯欠損を伴う反対咬合
年齢:22歳
使用した主な装置名:舌側マルチブラケット装置
抜歯部位:上顎左側第一大臼歯、下顎左側第二小臼歯
治療期間:2年0か月
下記の費用は治療完了までにかかる目安であり、最初にすべてお支払いいただく金額ではござません。
詳しくは下部の料金表をご覧くださいませ。
費用の目安:1,026,000円(治療期間内にかかる検査料、診断料、施術料、処置料をすべて含む)
リスク副作用:歯肉縁
過蓋咬合(深い咬み合わせ)
主訴:下の前歯のガタガタ
診断名:過蓋咬合を伴うAngle I級叢生
年齢:21歳
使用した主な装置名:舌側マルチブラケット装置
抜歯部位:上下顎両側第一小臼歯
治療期間:3年8か月
下記の費用は治療完了までにかかる目安であり、最初にすべてお支払いいただく金額ではござません。
詳しくは下部の料金表をご覧くださいませ。
費用の目安:1,074,000円(治療期間内にかかる検査料、診断料、施術料、処置料をすべて含む)
リスク副作用:歯根吸収
開咬(前歯が咬まない)
主訴:前歯が噛めない
診断名:下顎骨左方偏位を伴う骨格性開咬
年齢:16歳
使用した主な装置名:舌側マルチブラケット装置
抜歯部位:下顎右側第一小臼歯
治療期間:2年0か月
下記の費用は治療完了までにかかる目安であり、最初にすべてお支払いいただく金額ではござません。
詳しくは下部の料金表をご覧くださいませ。
費用の目安:1,026,000円(治療期間内にかかる検査料、診断料、施術料、処置料をすべて含む)
リスク副作用:歯肉炎
*上の画像は治療の一例です(仕上がりには個人差があります)
舌側矯正治療のメリット
- ・他の人に気づかれずに治療ができる
- ・治療中、虫歯になりにくい
舌側矯正治療のデメリット
- ・装置代が高額になる
- ・治療中、発音が少ししづらくなる(個人差があります)
舌側矯正治療 Q&A
舌側矯正の治療期間はどのくらいですか?
治療期間は外側の装置と同じです。 ケースによっては舌側矯正の方が早く治ることもあります。
仕上がりの状態に外側の矯正と違いはありますか?
外側の矯正装置で治療した場合とまったく同じです。
舌側矯正費用は外側の矯正の費用と違うのですか?
舌側矯正には特別な装置と技術が必要なため、外側の装置よりも高くなります。
舌側矯正をすることによって、発音がしにくくなりますか?
話しにくくなる程度は患者さんの歯並びの状態や舌の位置によって違います。 通常数週間で普通に話せるようになります。
歯磨きは難しいですか?
外側の装置と比較して特に難しいということはございません。 外側の装置と同様に歯科衛生士が指導致します。
マウスピース型矯正装置を用いた治療
取り外し可能な、目立ちにくい装置です。

おススメの方
- ・矯正装置を見られたくない方
- ・成人式・結婚式など、写真撮影を控えている方
- ・モデル・営業・タレント・歌手・アナウンサーの方
上記のうち、几帳面な方
おススメできない方
- ・面倒くさがりな方
マウスピース型矯正装置のメリット
- ・汚れが残りにくい
- ・歯磨きがしやすい
- ・器具の破損が起こりにくい
マウスピース型矯正装置のデメリット ・
- ・自分で装置を使う努力が必要
(メーカー推奨使用時間:20~22時間/1日) - ・装置の紛失が起こる場合がある
矯正歯科料金表
患者様にはご負担とご迷惑をおかけいたしますが、2023年1月より下記価格となります。
何卒、ご理解ご了承いただけますようお願い申しあげます。
※以前の価格のお問い合わせは直接当院までご連絡くださいませ。
| 初診相談 | お悩みやご希望を伺っておおまかな治療方法をお伝えします。 | ¥0 |
|---|---|---|
| 精密検査料 | 写真や歯型、レントゲン写真などの検査を行い、分析します。 | ¥20,000 |
| 診断料 | 具体的な治療方法、治療期間など、治療計画をお伝えします。 | ¥20,000 |
お子様の矯正治療
| 第Ⅰ期治療 | 乳歯と永久歯が混在している時期の矯正です。 | ¥350,000 |
|---|---|---|
| 第Ⅱ期治療 | 永久歯列完成後のワイヤー矯正です。 | ¥350,000 |
大人の矯正治療
| 表側矯正 | 透明な装置と金属色のワイヤーの表側矯正です。 | ¥700,000 |
|---|---|---|
| ホワイトワイヤー | ワイヤーも白色の目立たないものを使用します。 | ¥750,000 |
| ハーフリンガル | 上は舌側矯正、下は表側矯正を使用します。 | ¥800,000 |
| 裏側矯正 | 表から見えない装置を使用します。 | ¥900,000 |
| マウスピース矯正 | マウスピース型矯正装置を使用します。 | ¥900,000 |
| 部分矯正 | 気になる部分のみを治療します。 歯ならびの状態によっては適応外となる場合があります。 | ¥100,000 ~ |
| 処置料 | 来院ごとにかかる料金です。 | ¥4,000 |
|---|
※費用はすべて消費税別の表記です。
お支払いについて
治療費は装置が入った時点でのお支払いになります。
(診断を行い、治療方針に同意をいただいてからになります)
治療費のお支払はクレジットカードおよび院内分割可能です。(矯正治療のみ)


